ホルマリン色素の除去方法
ホルマリン色素とは
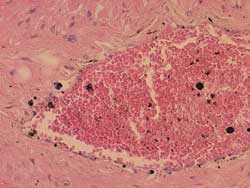
)ホルマリン固定した組織標本で認められる黒褐色調の粒子をいう.血管内や出血など赤血球の存在する場所に認められる.この色素は固定液が pH3.0〜5.0でになると著しく沈着してくる.
ホルマリン色素の除去方法
この色素は()溶液と()の混合液で除去することができる.
  1. )法

    )と70%エタノール

  2. )法
)と80%エタノール
血管内のホルマリン色素
うっ血した組織内のホルマリン色素

(マウスを合わせると除去後の画像になります)

(マウスを合わせると除去後の画像になります)
All Rights Reserved, Copyright© Department of Pathology Kyorin University School of Health Sciences