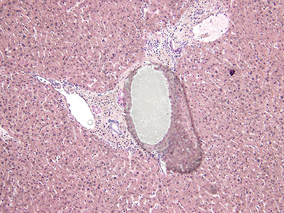
不適切な染色結果と原因7(肝臓)
脱水不良(肝臓)

脱水が不完全のまま透徹封入した標本で、中央に水滴が認められる。

水滴の他、細胞質の染色性が低下を来す。

(マウスポインタを写真上に置くと適正な染色写真が表示されます)

All Rights Reserved, Copyright© Department of Pathology Kyorin University School of Health Sciences