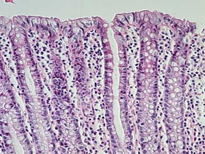
染色写真1
正常大腸

粘膜内に多数の杯細胞を認める。

杯細胞の細胞質が赤色に染色されており、上皮性粘液(酸性粘液)があることがわかる。

All Rights Reserved, Copyright© Department of Pathology Kyorin University School of Health Sciences