事例番号: 022

発見日時 発 見 場 所 性別 推定年齢 概    要 特 記 事 項
平成24年
9月21日
静岡県御殿場市
箱根スカイライン沿いの雑木林内
男性 20歳後半〜30歳代
(歯科所見より)
発見日時/場所で一部白骨、死ろう化した遺体を発見。死後経過時間は1カ月〜2年程度(推定)。 身長157〜167cm(推定)、全身所見からは35〜55歳くらいまでを考慮。着衣、所持品から、東京都、神奈川県、埼玉県等の繁華街を生活圏とする者と推察。


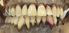
Digital Dental Chart

写真および歯の番号をクリックすることで詳細な画像・情報を見ることができます。
残存
残存(矮小歯様)
残存
In修復(OD, S)
In修復
Cr(S)(根管充填)
Cr(S)(根管充填)
欠損
残存
残存(矮小歯様)
残存
残存
残存(頬側傾斜)
In修復(OP, S)
残存
欠損
欠損
CR修復(O)
治療途中(仮封)
CR修復(O)
残存
残存(近心傾斜,捻転)
残存
残存
欠損
欠損
コア(S)(根管充填)
欠損(死後脱落の可能性)
残存
残存(近心傾斜,捻転)
残存
残存




歯科所見の特徴点としては、「上顎左右側側切歯の矮小歯様形態」「上顎左右側第二小臼歯,下顎左側第一小臼歯根尖の近心への湾曲」「上顎左側第一大臼歯,同第二大臼歯の挺出」「下顎左右側犬歯の近心傾斜および捻転」「下顎右側第一大臼歯の仮封材(治療途中の可能性)」が挙げられる。

5432|234567 : エナメル質内の咬耗
1|121|12 : 咬耗による象牙質の露出
2| : 斜切痕の存在、  |67|6 : 挺出
2|2 : 根尖が遠心に湾曲、   5|5|4 : 根尖が近心に湾曲
Dental Chart (PDF)
Download

所見記載 :都築民幸
岩原香織