新型MRI装置導入でより高精度、快適な検査を提供
作成日時:2024年12月25日
外来棟地下1階放射線部に新型MRI装置が2台導入されました。
8月下旬から運用が開始されたフィリップス社製「Ingenia 1.5T Circular Edition」は、磁力1.5テスラの特長を活かし、高身長の方の全脊椎といった広範囲部位の撮影や広範囲の腹水症例があるなど体格の大きな方、また体内に金属性の診療材料を挿入されている患者さんなど、従来では画質の担保が難しかった症例でも、より高い解像度、高い視認性をもって撮像することが可能になりました。さらにAI技術を駆使することで今までと同様の検査時間内で、より多くの情報を得ることが期待されます。



広範囲を一度に撮像可能な全脊椎撮像
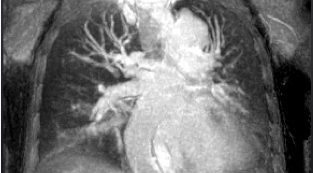
12月中旬から運用が開始されたキヤノン社製「Vantage Galan 3T / Supreme Edition」は、心臓部にあたるマグネットや傾斜磁場システムを国産のものとした最新の3T MRI装置です。
磁場の均一性が向上したことで、従来と比べて広範囲の部位を歪みのない画質で撮像することができます。さらに、AI技術を用いたノイズ低減と超解像技術を併用することで、従来と同じ解像度であれば大幅な検査時間の短縮を、従来と同じ時間であればより高解像度の画像を取得することが可能となりました。例えば、数分かかっていた全脳のT2強調画像が、救急診療時にはわずか5秒で撮像することができ、限られた時間で多くの情報を得ることができます。
また、どちらの検査室も天井には開放感のある風景画が描かれ、検査時にはBGMが流れることで、MRI検査特有の騒音や閉塞感を和らげることができ、患者さんにより快適に検査を受けていただけるような工夫をしています。



頭部脳血管撮像。AI技術を用いて左の低解像度の画像を右の高解像度画像に再構成可能。撮像時間はそのままで高分解能化が可能となる。

高分解能肺動静脈撮像

